Wurmcheck:
Schnell, sicher, unschädlich-
Entwurmen nur bei positivem Befund!
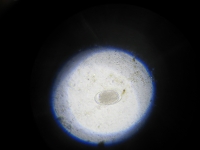
Hackenwurm (Ei)
Grundsätzlich können zur Bekämpfung von Würmern bei Hund und Katze anstelle sachgerechter Entwurmungen auch Kotuntersuchungen vorgenommen werden. Ziel ist es, auf diesem Weg festzustellen, ob ein Tier Würmer hat. Finden sich Hinweise auf einen Wurmbefall, wird das Tier behandelt. Finden sich keine, kann an dieser Stelle auf eine Entwurmung verzichtet werden.
Sachgerecht ist diese Methode allerdings nur, wenn für die Kotuntersuchung über drei aufeinander folgende Tage mindestens jeweils 4 Gramm Kot aufgesammelt werden. Alle drei Proben werden dann als „3-Tages-Sammelprobe“ in der Tierarztpraxis untersucht. Wichtig ist ausserdem, dass die Kotuntersuchungen regelmässig, d.h. genau so oft wie empfohlene Entwurmungen durchgeführt werden. Unter diesen Vorraussetzungen ist die Untersuchung von Kotproben eine gute Alternative zur Entwurmung.

/10834399_10203430448511194_1003132405_o.jpg)